Before And After Patient Results

Synergy Patient Results Photo Gallery

Synergy Periodontics and Implants proudly showcases a range of impressive before-and-after patient results, highlighting the transformative effects of our treatments. From patients who’ve regained healthy gums and teeth to those who’ve undergone life-changing dental implants, the results reflect the clinic’s expertise in restoring both function and aesthetics. Each patient’s journey is a testament to the tailored care and advanced techniques Synergy uses to help individuals achieve healthier, more confident smiles.

Synergy periodontics before transformation smileSynergy periodontics after transformation smile results
Synergy periodontics before front teeth photo smile transformationSynergy periodontics after front teeth photo smile transformation results

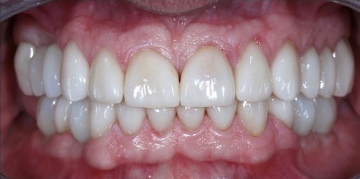
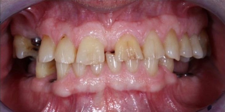
In this case, Dr. Thanos Dounis and Dr. Tsoutis worked together to deliver an excellent outcome for this patient. Due to clenching and grinding, this patient’s teeth were worn down and his sleep apnea continued to make things worse. After a proper diagnosis and treatment, Dr. Thanos Dounis and Dr. Tsoutis successfully added several implants, leading to this outstanding patient result.

Dental implant treatment at synergy periodontics After front dental implants from synergy periodontics and implants

FRONT
DENTAL IMPLANTS

Before front smile photo single implant to replace broken tooth smile transformationAfter front smile photo single implant to replace broken tooth smile transformation

Before and after single implant to replace broken tooth

Before crown lengthening After crown lengthening synergy periodontics and implants

CROWN
LENGTHENING

Before dental implantsBest dental implants doctor fredericksburg va

FULL ARCH
DENTAL IMPLANTS

Before brown teeth After procedure straight white teeth

Our team at Synergy Periodontics was proud to work alongside Dr. Trahos of Trahos Dental to achieve optimal results for Brenda!

Perio synergy patient before Before and after patient results

In her own words…

“I came to Synergy about four years ago because I was suffering with a lot of issues and browning of my teeth due to the side effects of going through cancer treatment. Dr. Thanos Dounis was very helpful and very thorough. His team was excellent and compassionate. So when I met with him, to go over his findings and recommendations, I ended up crying because I was very excited that someone was going to finally take care of my teeth! I’m very pleased with the procedure. He ended up doing tissue grafting, crown lengthening, one implant, and I have a full set of upper and lower veneers. I have beautiful teeth now and my kids call me Mrs. Hollywood! I would highly recommend Synergy to anyone else who needs to have any major dental work done!” – Brenda

Before photo of patient who needs teeth replacement Best dental implants fredericksburg va
Happy patient smiling
Patient results Best dental implants doctor fredericksburg va
Real patient father john after photo
Jerry before treatment - dental implants and teeth in a day before and after. Jerry after treatment - dental implants and teeth in a day before and after.
Light purple flower

Changing Lives

One Smile At A Time

Our commitment to conservative, patient-centered care is complemented by state-of-the-art technology and a dedication to ongoing education. We provide a warm, friendly environment and a strong connection to the community, and work to ensure that every patient receives exceptional care tailored to their unique needs. Request an appointment today to achieve the smile of your dreams!

Girl smiling

 superior, patient-centered, specialized care.

unrivaled results.